
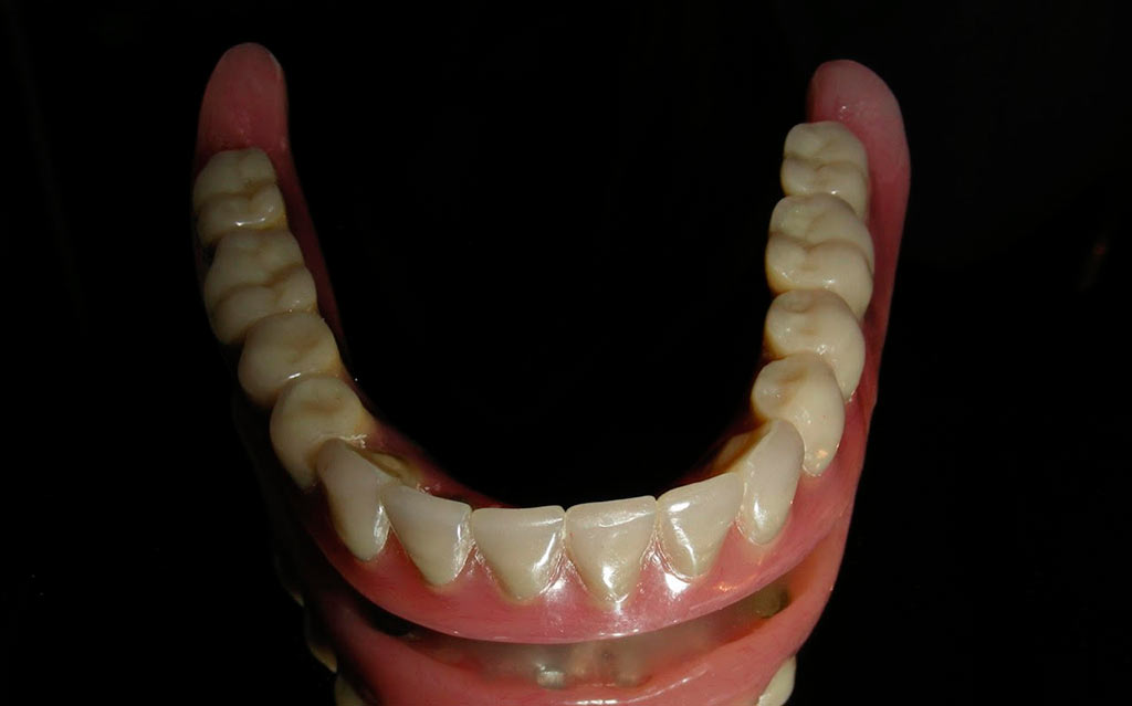
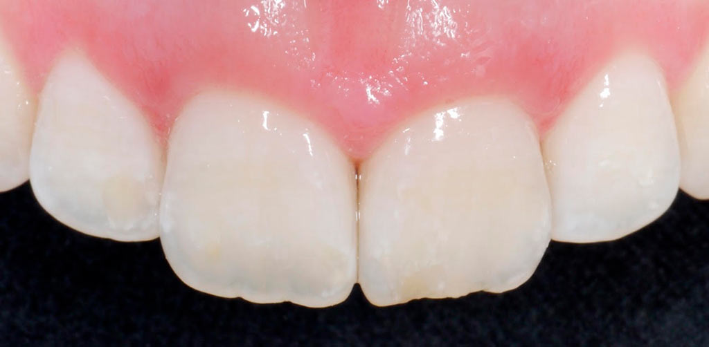
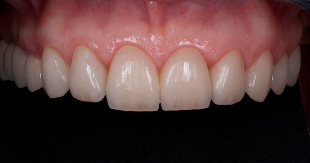
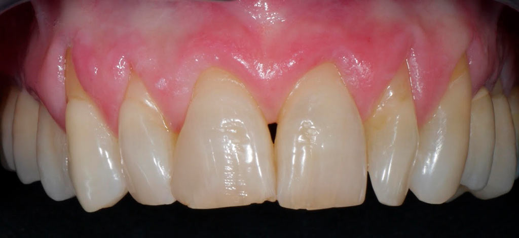
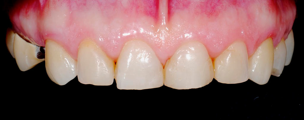
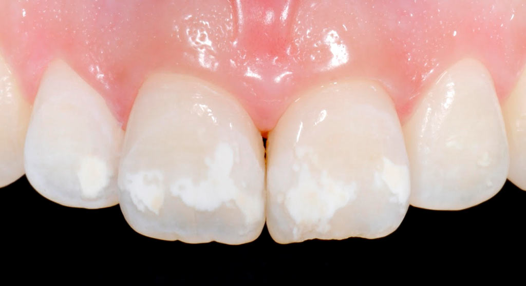
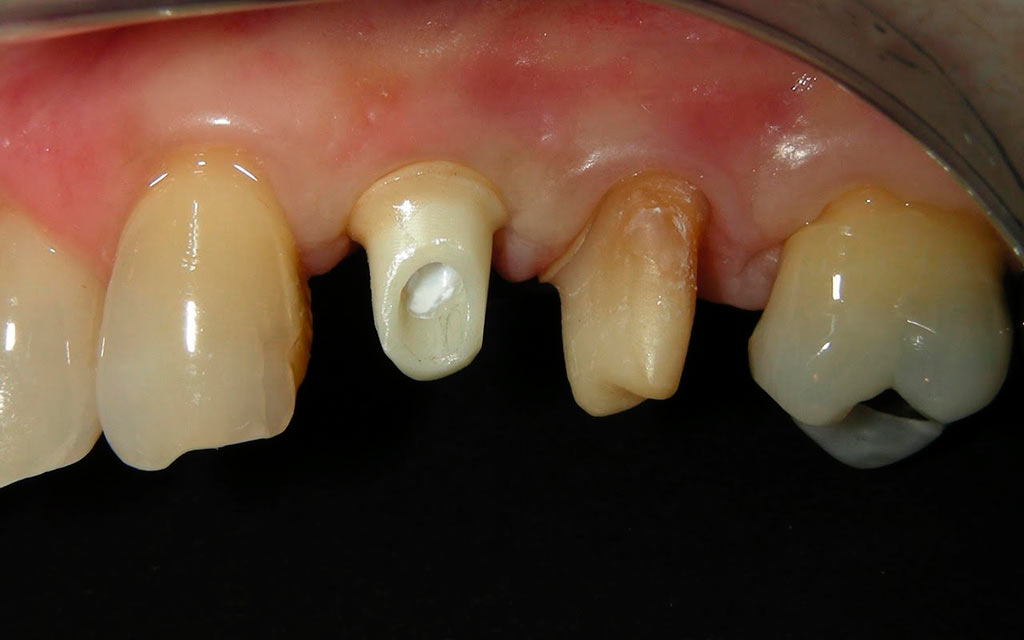
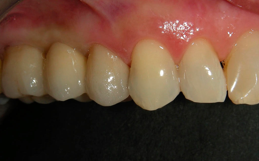
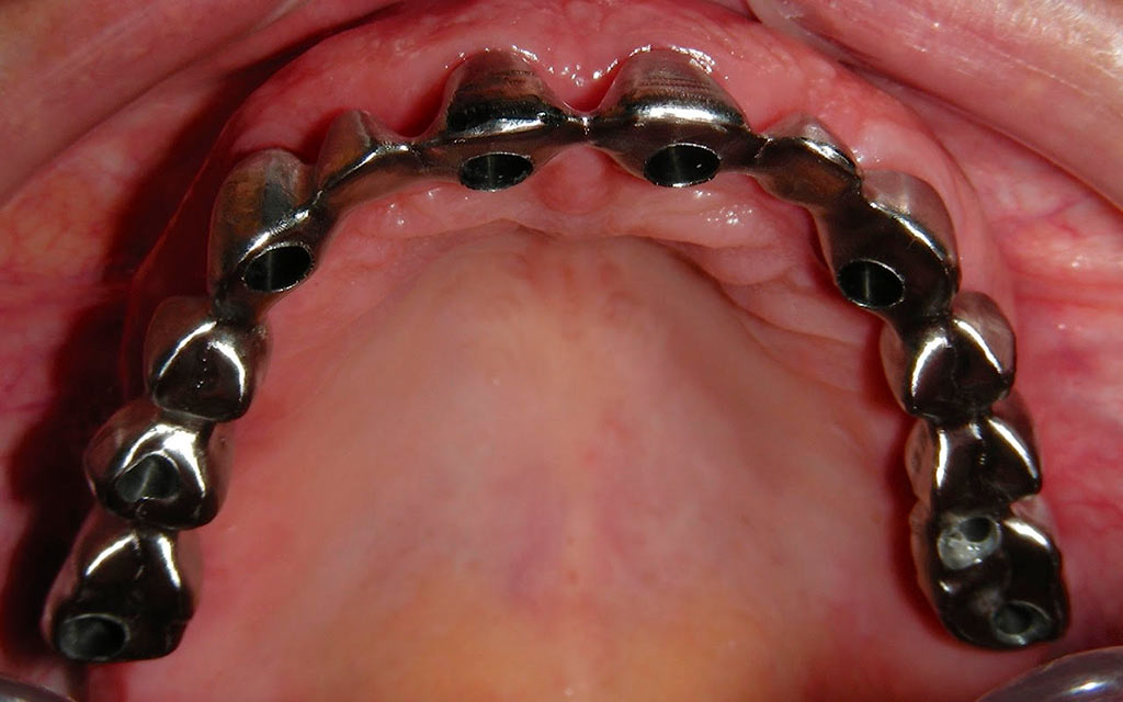
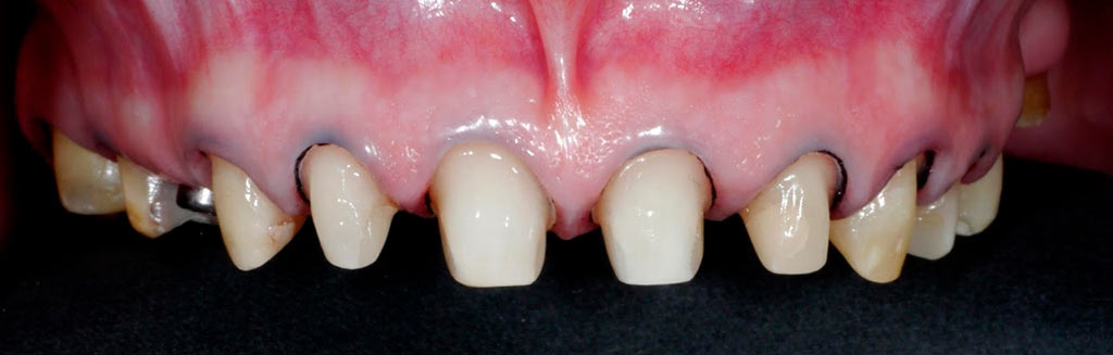
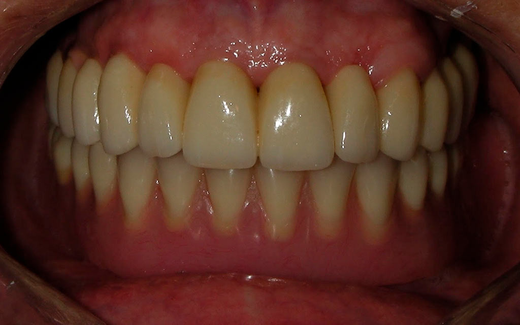
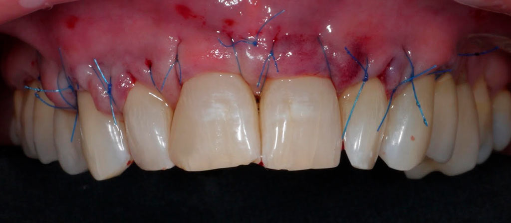
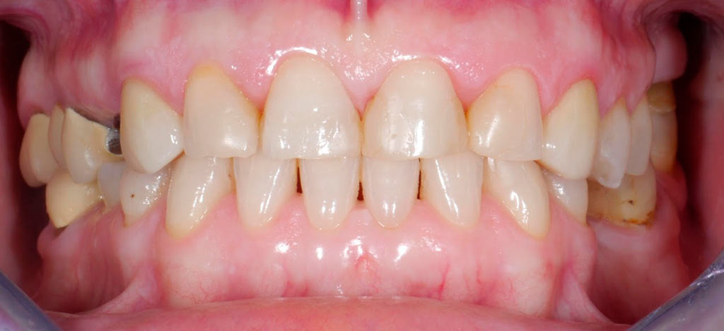
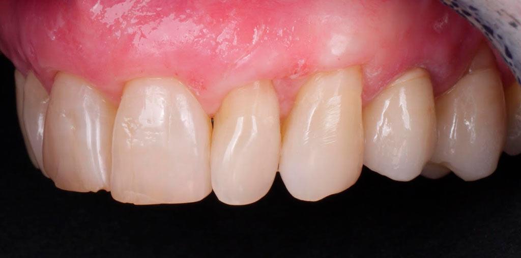
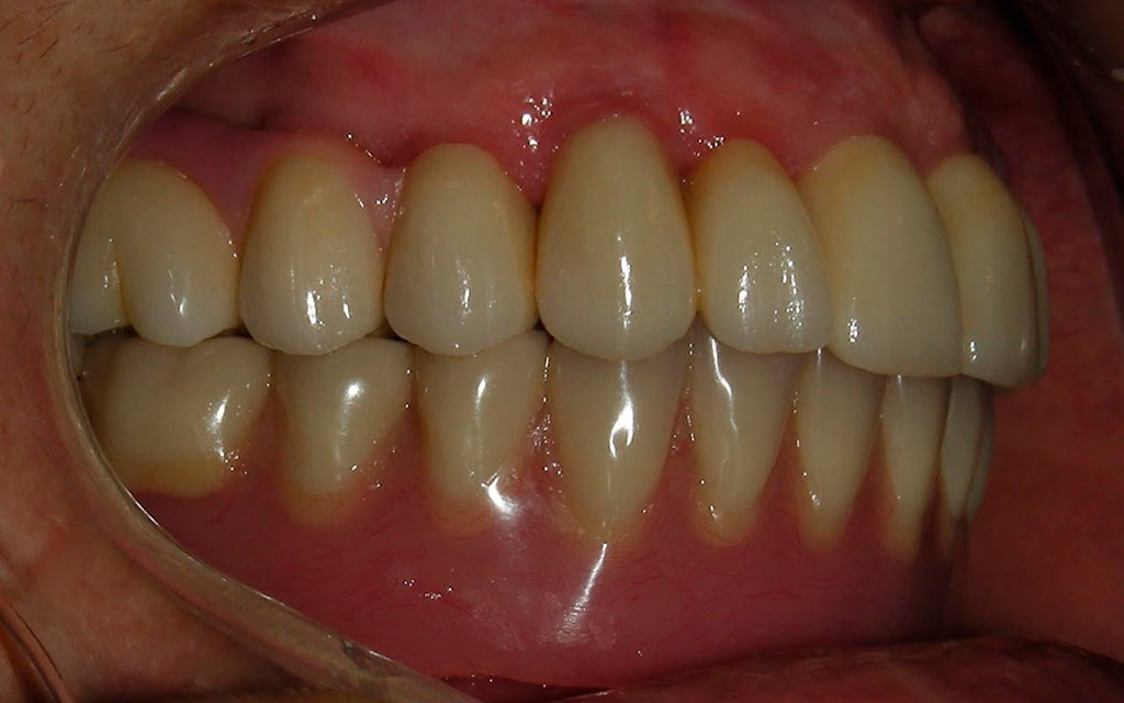
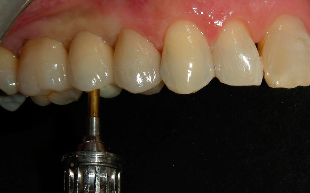
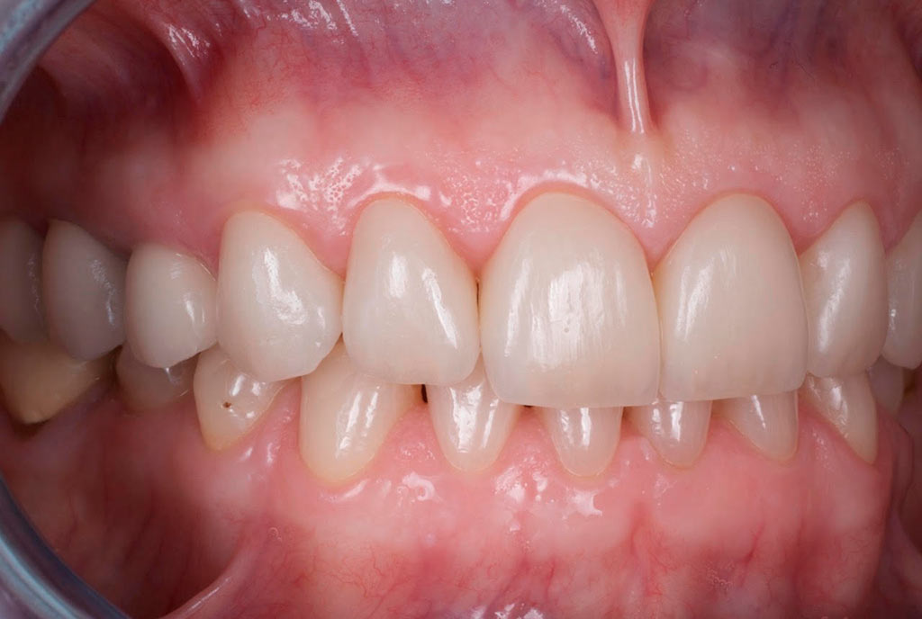
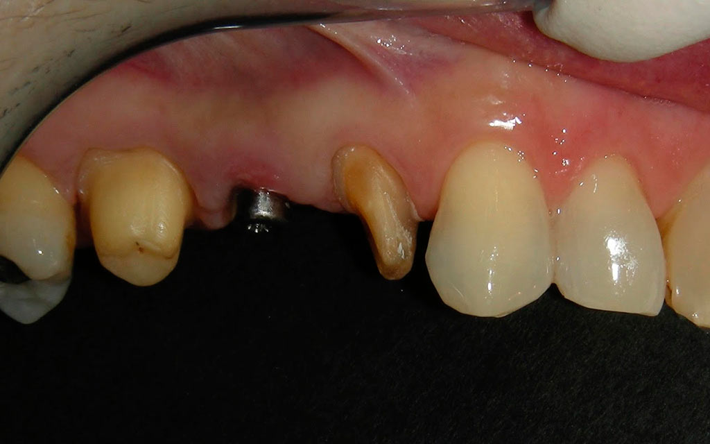
Utilizamos los mejores materiales para lograr una espectacular sonrisa, con un aspecto totalmente natural. Trabajos de disilicato de Litio, Zirconio y cerámicas de alta estética, confiando siempre en nuestro laboratorio dental, uno de los mejores de España.