Free cookie consent management tool by TermsFeed Update cookies preferences

Tratamientos

Periodoncia

Tratamientos de los tejidos que rodean al diente, basados en la prevención y tratamiento de las enfermedades de las encías.

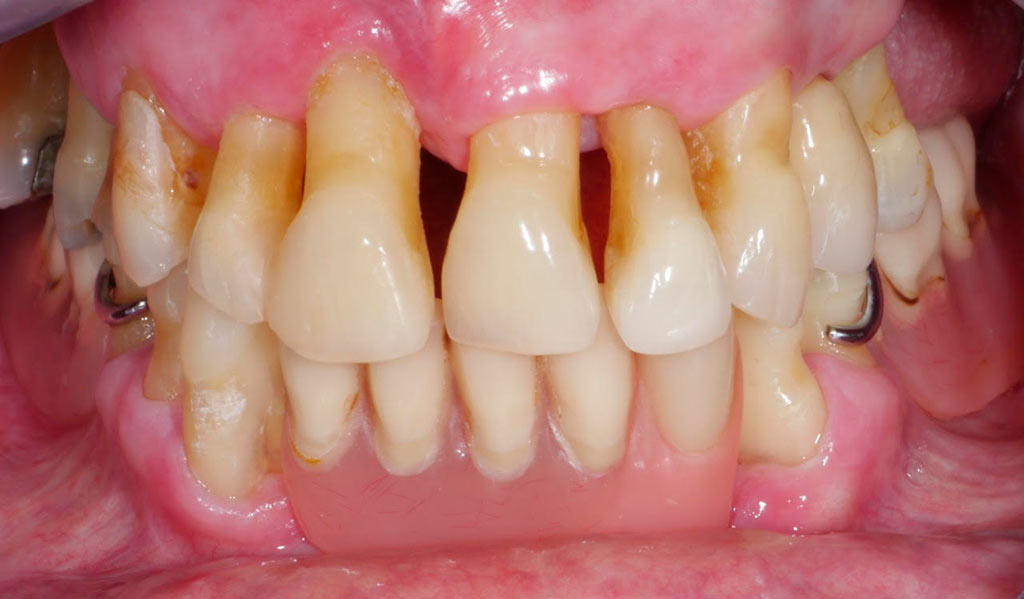
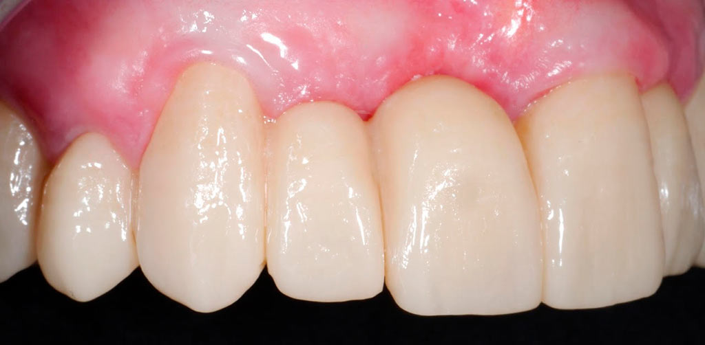
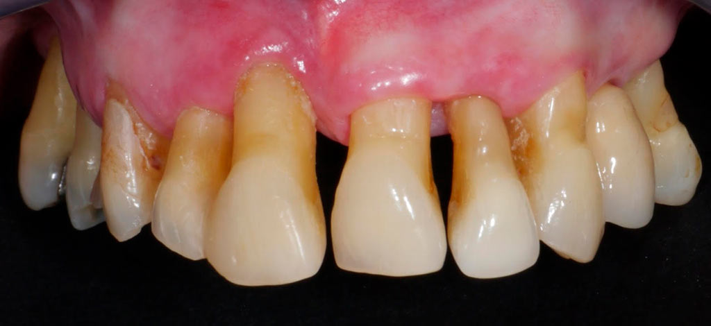
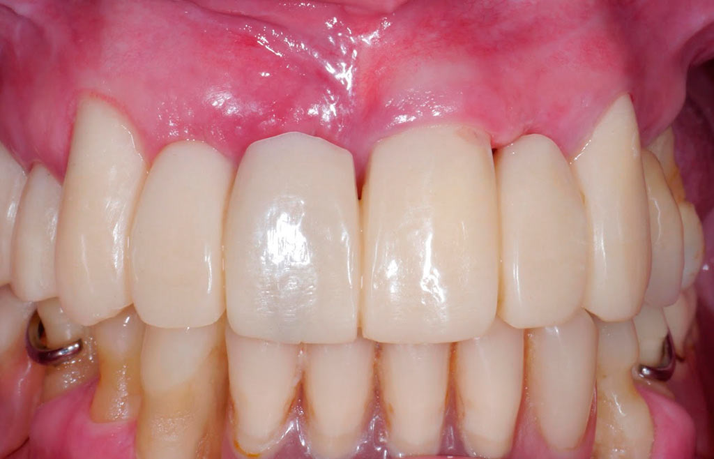
Nivelado de encías, monobloque fresado de zirconio

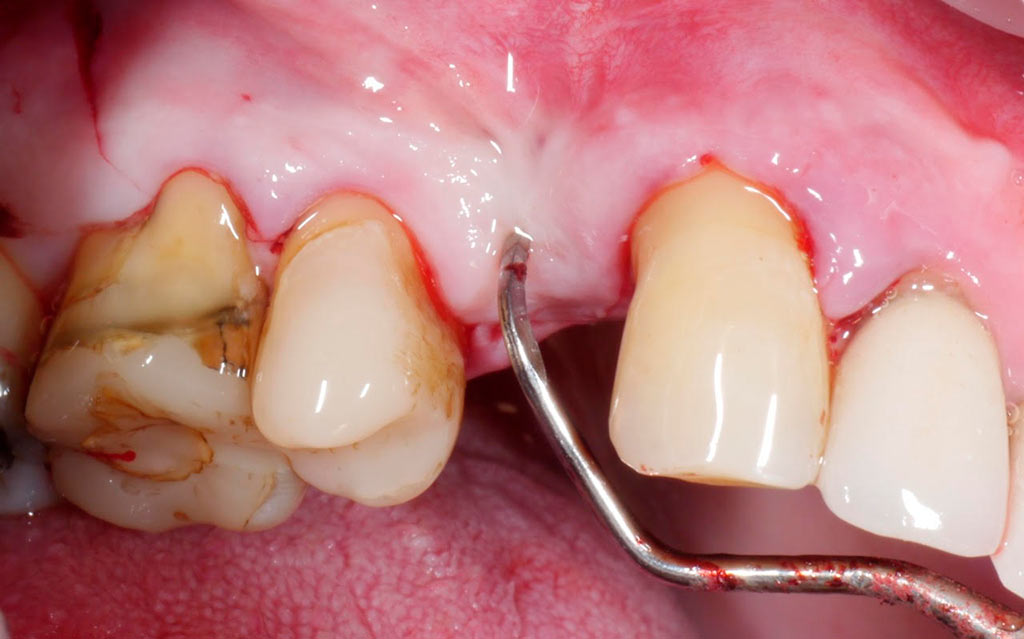
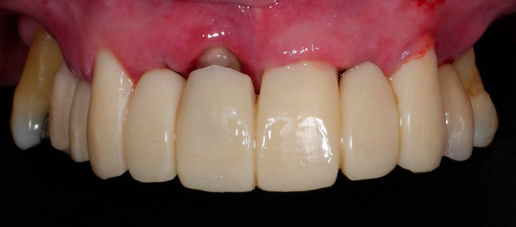
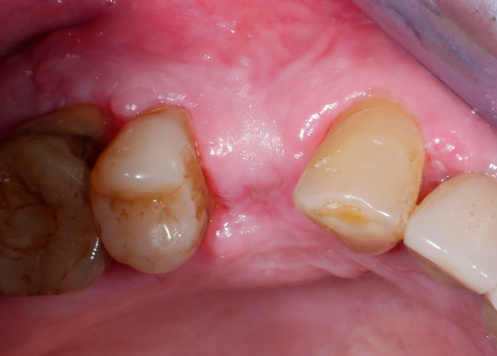
Regeneración con bioos, membrana e implante

VOLVER
Avenida España, 17, 2, local 6
(Cáceres)
Establecimiento Sanitario Nº 10002000

Plaza de Gregorio Bravo, 10
(Valencia de Alcántara)
Establecimiento Sanitario Nº 10002071


®Todos los derechos reservados - Clínica Dental Julio Vivas Teno
Política de cookies - Política de Privacidad - Sus datos seguros