Free cookie consent management tool by TermsFeed Update cookies preferences

Tratamientos

Odontología conservadora

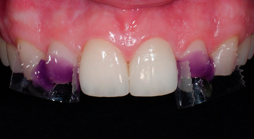
Tratamientos de estética dental para restaurar y conservar los dientes afectados por caries, siempre utilizando las mejores marcas de composites (Ivoclar-Vivadent, Voco…)

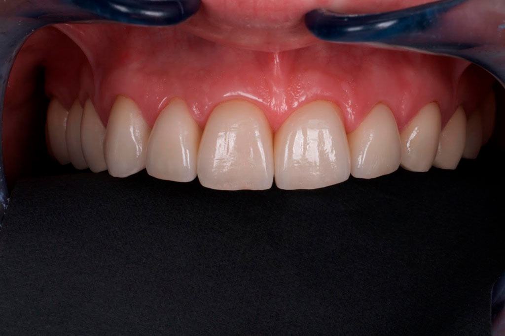
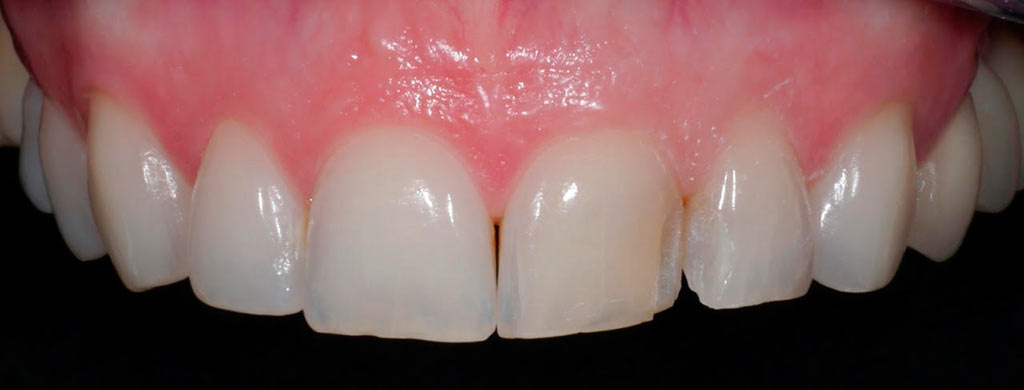
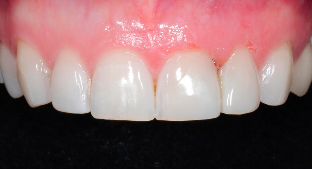
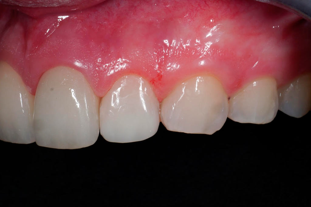
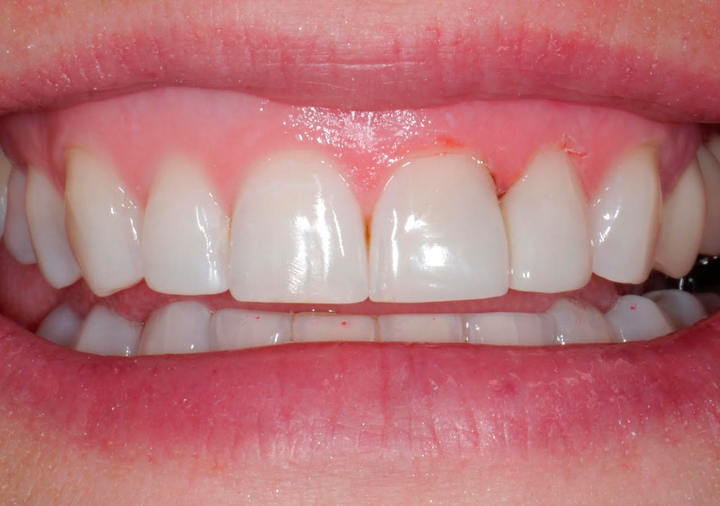
Blanqueamiento, carillas de composite, corona cerámica, carilla cerámica y gingivectomía

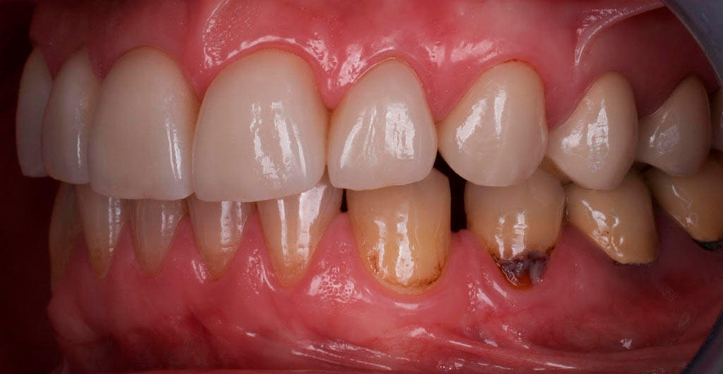
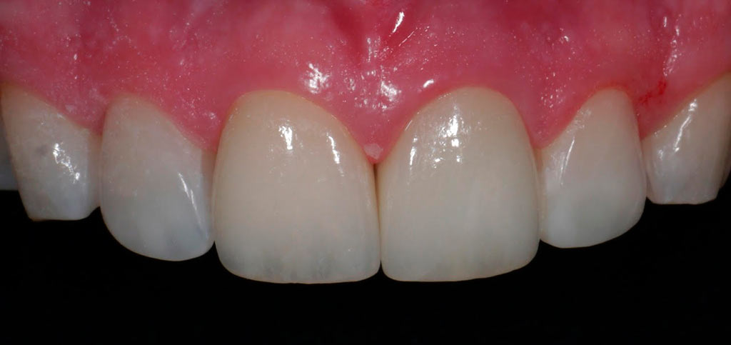
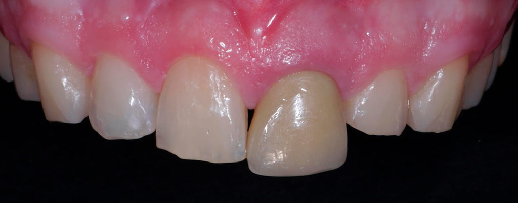
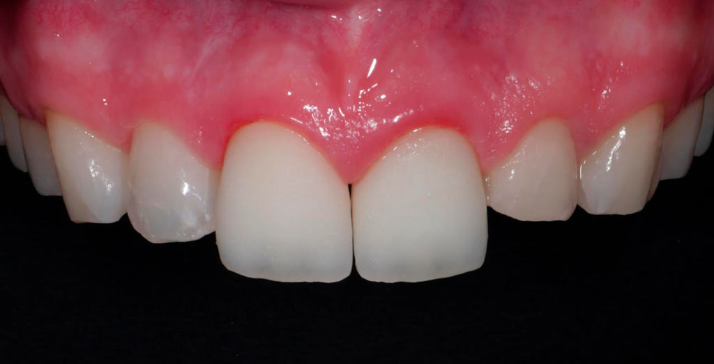
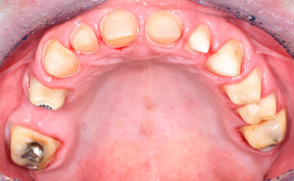
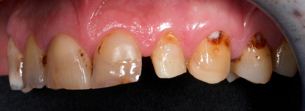
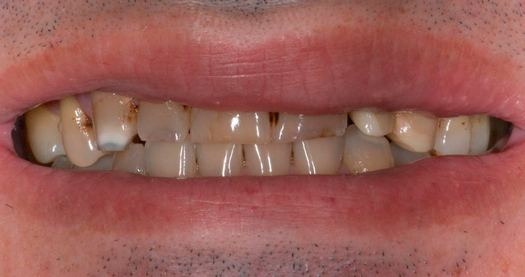
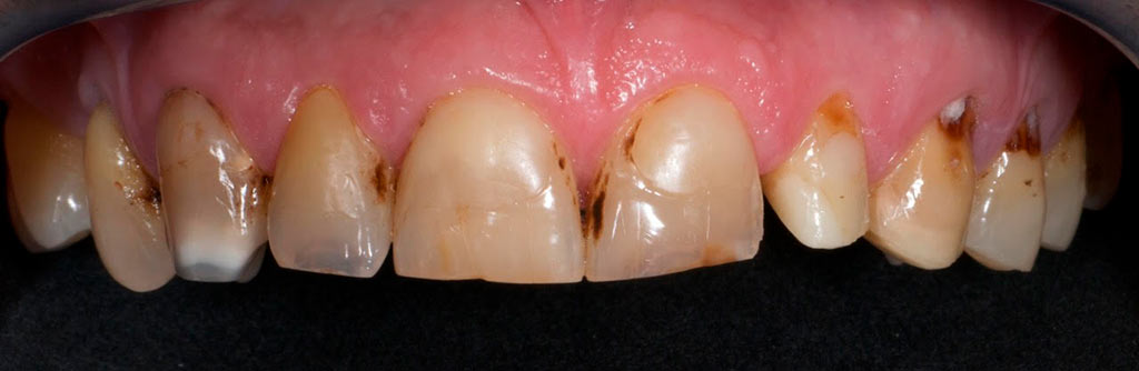
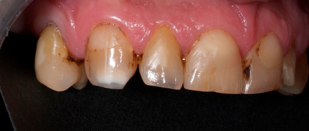
Caries

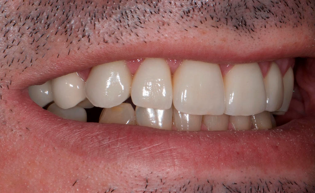
Caries múltiples restauradas con coronas

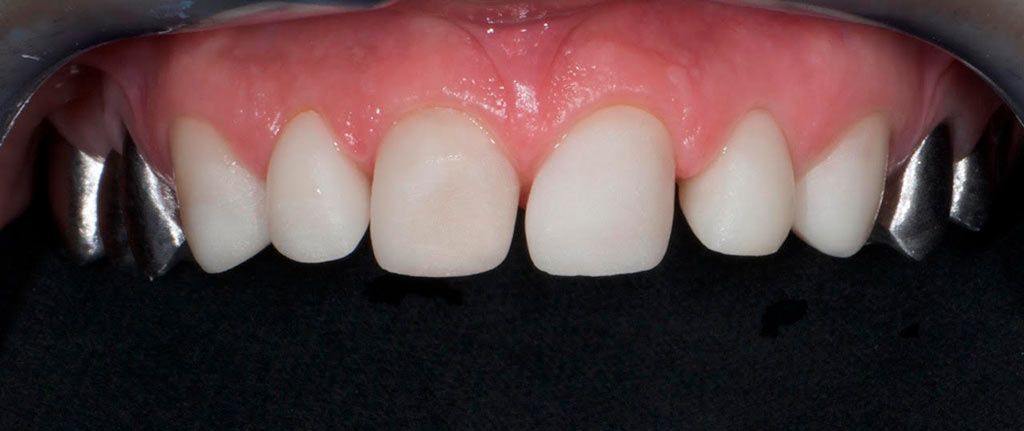
Composite

VOLVER
Avenida España, 17, 2, local 6
(Cáceres)
Establecimiento Sanitario Nº 10002000

Plaza de Gregorio Bravo, 10
(Valencia de Alcántara)
Establecimiento Sanitario Nº 10002071


®Todos los derechos reservados - Clínica Dental Julio Vivas Teno
Política de cookies - Política de Privacidad - Sus datos seguros