Free cookie consent management tool by TermsFeed Update cookies preferences

Tratamientos

Cirugía

Tenemos una amplia experiencia en cirugía bucal, con tratamientos de extracción de molares del juicio, caninos incluídos, quistes, apicectomías, frenectomías, extirpación de mucoceles.

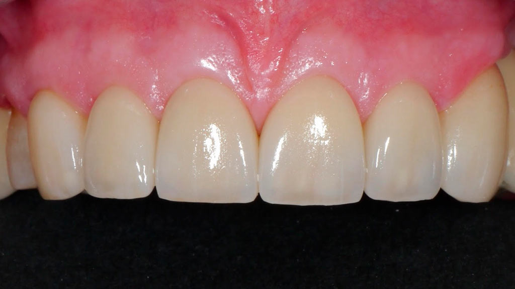
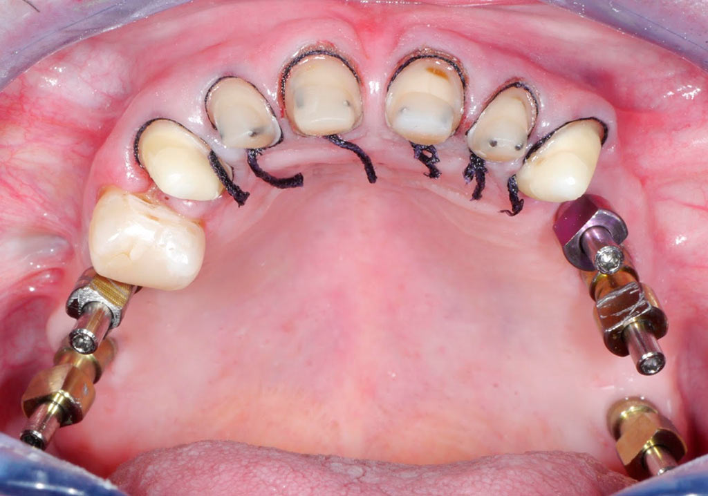
Completa inmediata,cirugía guiada, prótesis, puente de zirconio

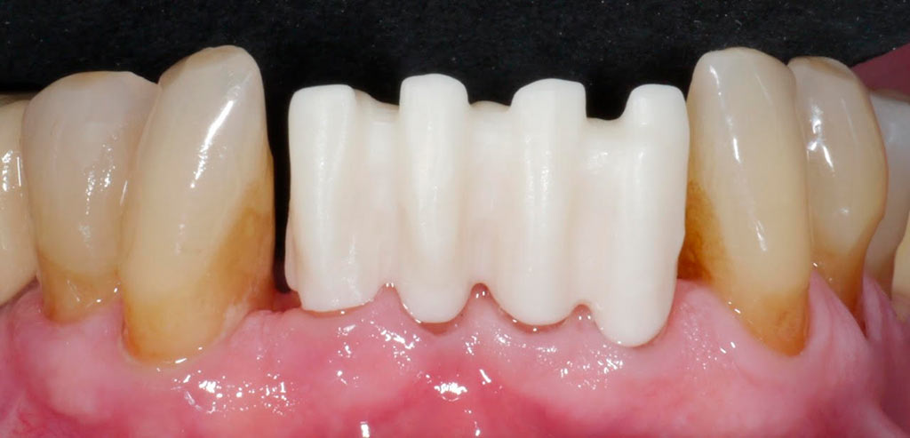
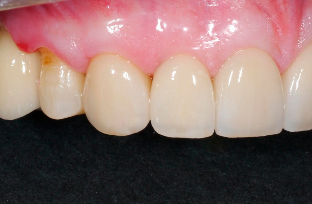
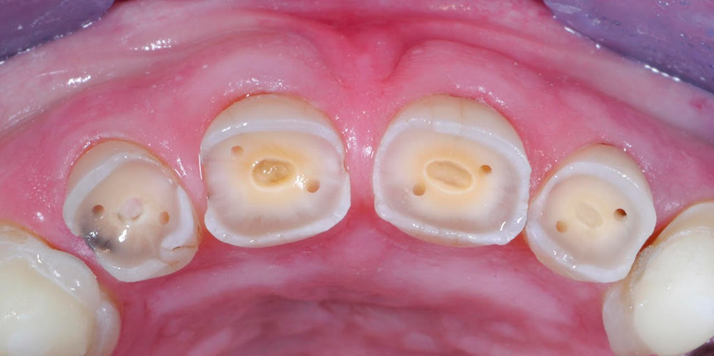
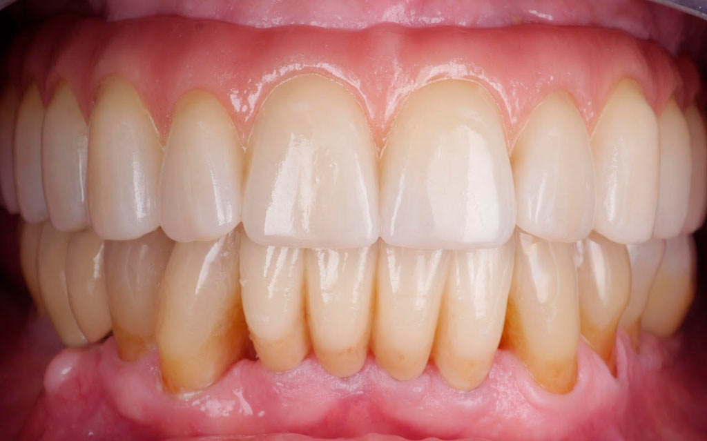
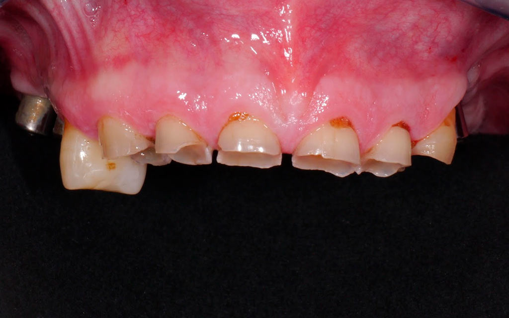
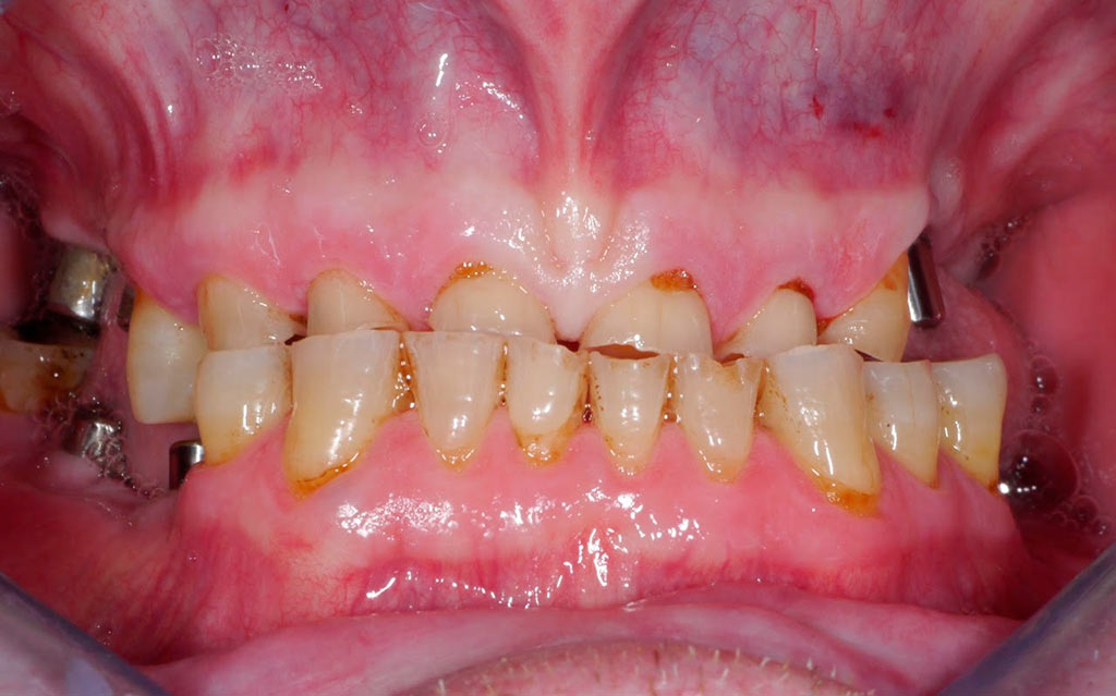
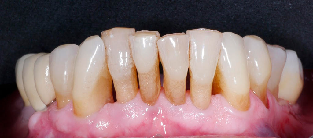
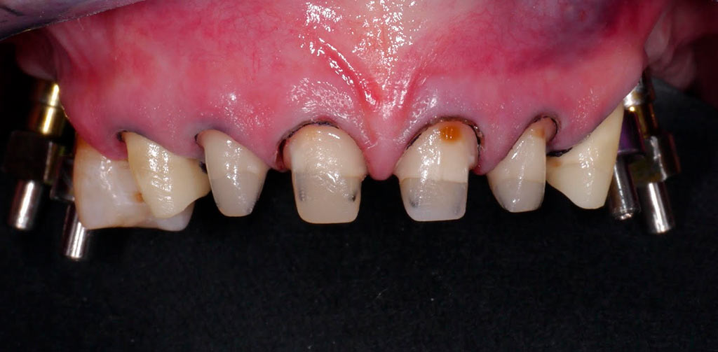
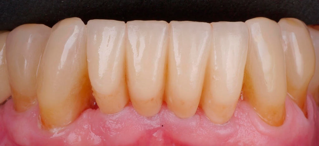
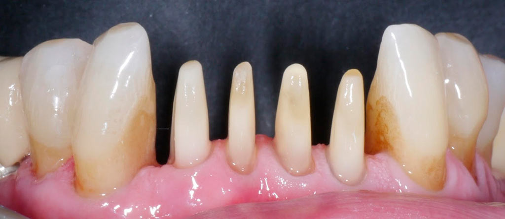
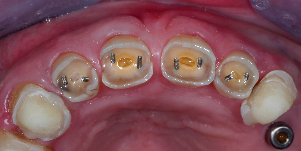
Rehabilitacion de paciente con destrucción dental

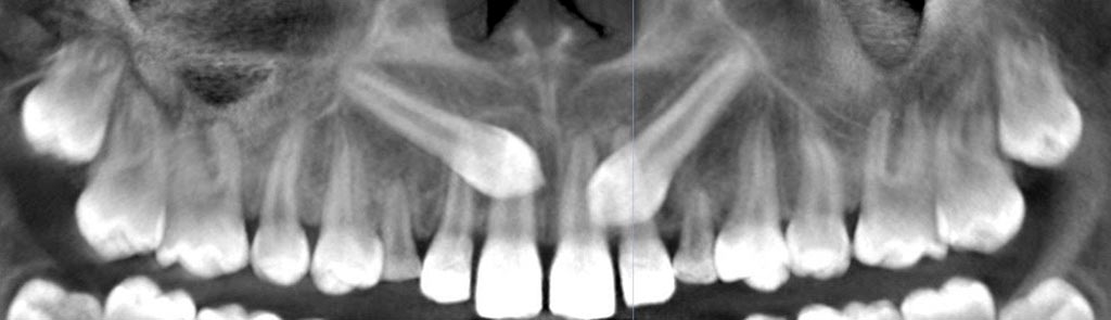
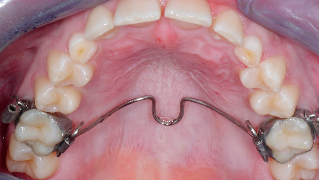
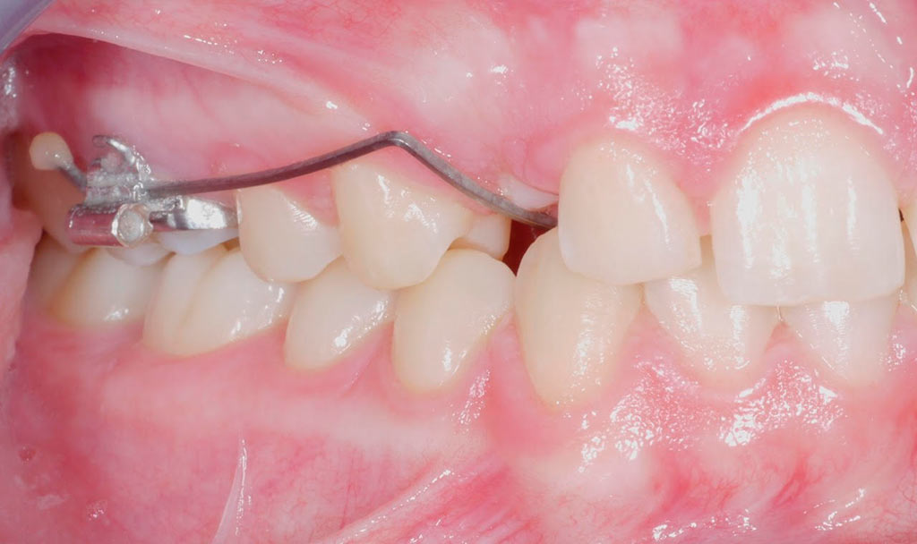
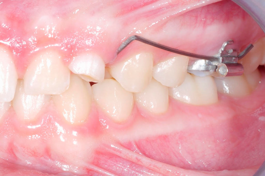
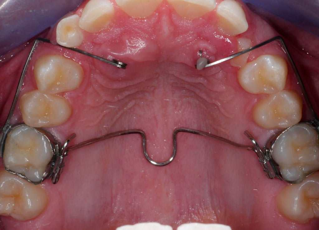
Tracción de canino con k9

VOLVER
Avenida España, 17, 2, local 6
(Cáceres)
Establecimiento Sanitario Nº 10002000

Plaza de Gregorio Bravo, 10
(Valencia de Alcántara)
Establecimiento Sanitario Nº 10002071


®Todos los derechos reservados - Clínica Dental Julio Vivas Teno
Política de cookies - Política de Privacidad - Sus datos seguros